山口県下松市の宇都宮歯科医院。きれいな白い歯で健康に
ホワイトニングで白い歯に
下松歯科医院開業
40
年
web予約
0833-43-3125
一緒に働きませんか?(子育てママ歓迎)
メニュー
コンテンツへスキップ
トップページ
治療方針
当院の施設基準
院内設備
ドクター
保険診療
保険外診療
ホームホワイトニング
オールセラミックス
フルジルコニアクラウン
スマイルデンチャー
オーバーデンチャー
コンティース
唾液検査(SMT)
医療費控除について
診療時間
アクセス
求人募集
トップ
›
製品
›
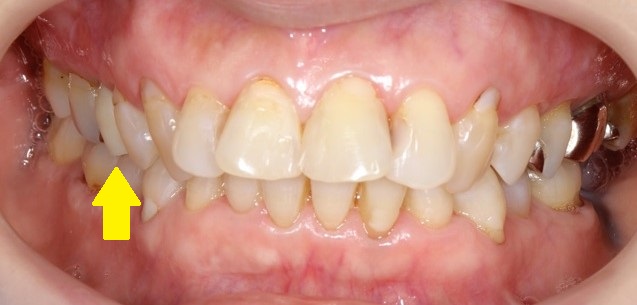
正解
正解
ジルコニアクラウン
向かって左上の歯に入ってました
唇を広げる器具をつけているので、実際はこんなにお口は見えません
よ~く見ると少し色が違います
お口の中では金属が一番目立ちます。